Ортопедия

Ортопедия

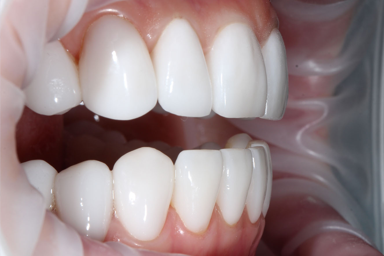
Коронки, виниры, протезирование — восстановление функции и эстетики зубного ряда.

Ортопедическая стоматология восстанавливает разрушенные зубы и замещает отсутствующие. Мы изготавливаем коронки, виниры, мосты и съёмные протезы из современных материалов — цирконий, E-max, прессованная керамика.

Каждая конструкция создаётся по индивидуальным слепкам с учётом цвета, формы и прозрачности ваших зубов. Результат — красивая улыбка и полноценная функция жевания на долгие годы.

Преимущества

Почему выбирают нас

Премиальные материалы

Цирконий, E-max, прессованная керамика — прочность и эстетика

Цифровое планирование

Моделирование результата ещё до начала работы

Индивидуальное изготовление

Каждая конструкция создаётся по цифровым слепкам с учётом анатомии

Минимальные сроки

Готовые коронки и виниры от 5 рабочих дней

Как проходит лечение

Этапы

1

Консультация и план

Осмотр, диагностика, обсуждение вариантов протезирования и стоимости

2

Подготовка зуба

Препарирование (обточка) зуба и снятие точных слепков, установка временной конструкции на время изготовления постоянной

3

Изготовление

Зуботехническая лаборатория изготавливает конструкцию, устанавливается временная коронка

4

Фиксация

Примерка, коррекция и надёжная фиксация готовой работы

Когда обратиться

Показания

  • Разрушение зуба более 30%
  • Отсутствие одного или нескольких зубов
  • Стираемость и сколы эмали
  • Эстетические дефекты передних зубов
  • Замена старых металлических коронок

Ответы на вопросы

Частые вопросы

Коронка покрывает зуб полностью и восстанавливает сильно разрушенный зуб. Винир — тонкая накладка на переднюю поверхность для коррекции эстетики.

Циркониевые и керамические коронки служат 15–20 лет при правильном уходе и регулярных визитах к стоматологу.

Нет, препарирование проводится под анестезией. После процедуры устанавливается временная коронка для защиты и комфорта.

Запишитесь на приём

Мы проведём осмотр, составим план лечения и ответим на все вопросы